What is a Seborrhoeic Keratosis?
Seborrhœic Keratoses (SK’s) are also known as seborroeic warts, senile warts and basal cell papillomas.
SK’s are caused by a build up of ordinary skin cells on the top layer of the skin. The reason for this is not known.
A familial predisposition is apparent. SK’s may also be a consequence of inflammatory skin conditions or malignancies. SK’s are not caused by a virus.



What are the signs and symptoms?
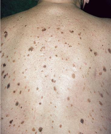
SK is a common benign growth occurring in older persons.
It is typically a solid raised discrete lesion of 5 mm or less (a papule) of variable colour from light brown to almost black.
SK’s may be smooth or wart-like with visible pitting.
Common sites include the face, trunk, and extremities. The lesion also may be stalked or non-stalked (that is, directly adherent to the skin). SK’s can itch.
They are not infectious and do not become malignant.
How is it treated?
Many patients require no treatment.
Simple surgical excision, scraping or freezing are the principal modes of removing SK’s. SK’s generally are removed if they are catching on clothing, itch or look unsightly.

