X
More Details

Dental Emergencies

In this sense, trauma to teeth and their supporting tissues. This involves injuries to the dental hard tissues (enamel, dentine and cement), the pulp and the alveolar process, to concussion of the tooth to avulsion of the tooth and its re-implacement within its socket.

This is a broad subject and other people explain it far better than me.

Regardless though, I list here very useful websites and also a variety of articles about dental trauma.

Dental Emergencies & Trauma3

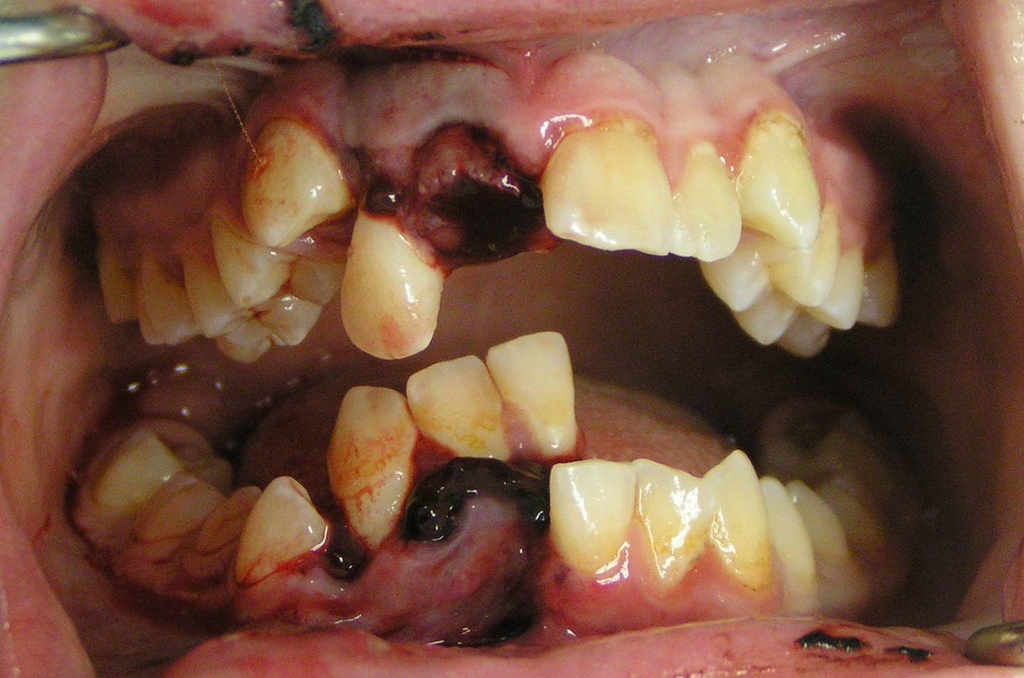
Photo of dental trauma, effecting the right incisors and lower canine, with the avulsion of the upper right central dento-alveolar fracture containing the lower right incisors and canine.

Useful Websites:

The Dental Trauma Guide